The deal introduces faster FTB mapping and quantitative susceptibility analysis to complement existing perfusion and contrast-enhancement solutions. 


Neuroimaging solution provider Imaging Biometrics announced an amendment to its distribution agreement with GE HealthCare to expand access to two products, FTB Express maps and QSMetric.

The agreement already includes IB Neuro and Delta T1 maps, which Imaging Biometrics says are widely adopted together to assist clinicians in diagnosing, planning, and monitoring treatment response for brain tumor patients. Delta T1 maps provide delineation of contrast-enhancing regions, while IB Neuro generates standardized MR DSC perfusion images of relative cerebral blood volume. These outputs serve as inputs for fractional tumor burden (FTB) maps, which deliver automated visualization of tumor versus non-tumor tissue and treatment effects within enhancing regions. FTB Express is designed to accelerate this process.

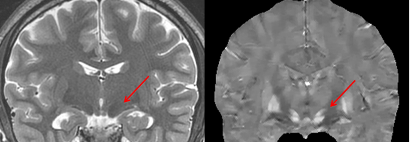
QSMetric is a quantitative susceptibility mapping software that processes gradient-echo brain images to visualize tissue structures and measure susceptibility values. This capability aims to support a range of clinical applications, including targeting for deep brain stimulation surgery, neurodegenerative disease assessment, multiple sclerosis, and more, according to a release from the company.

“We are excited to expand our collaboration with Imaging Biometrics to enable access for our customers to these clinically important capabilities,” says Katie Anderson, global MR visualization product manager at GE HealthCare, in a release. 

Photo caption: QSMetric can map iron involved in neuron function, including neurotransmitter generation. Deep gray nuclei are highly active in neurotransmitter generation with iron as a cofactor. Traditional T2 weighted imaging (left) depicts iron-rich deep gray nuclei such as subthalamic nucleus (arrow) with blurred hypointensity. QSM (right) depicts subthalamic nucleus with sharp positive contrast. QSM is the method of choice for mapping DBS targets.

Photo credit: Imaging Biometrics

We Recommend for You: