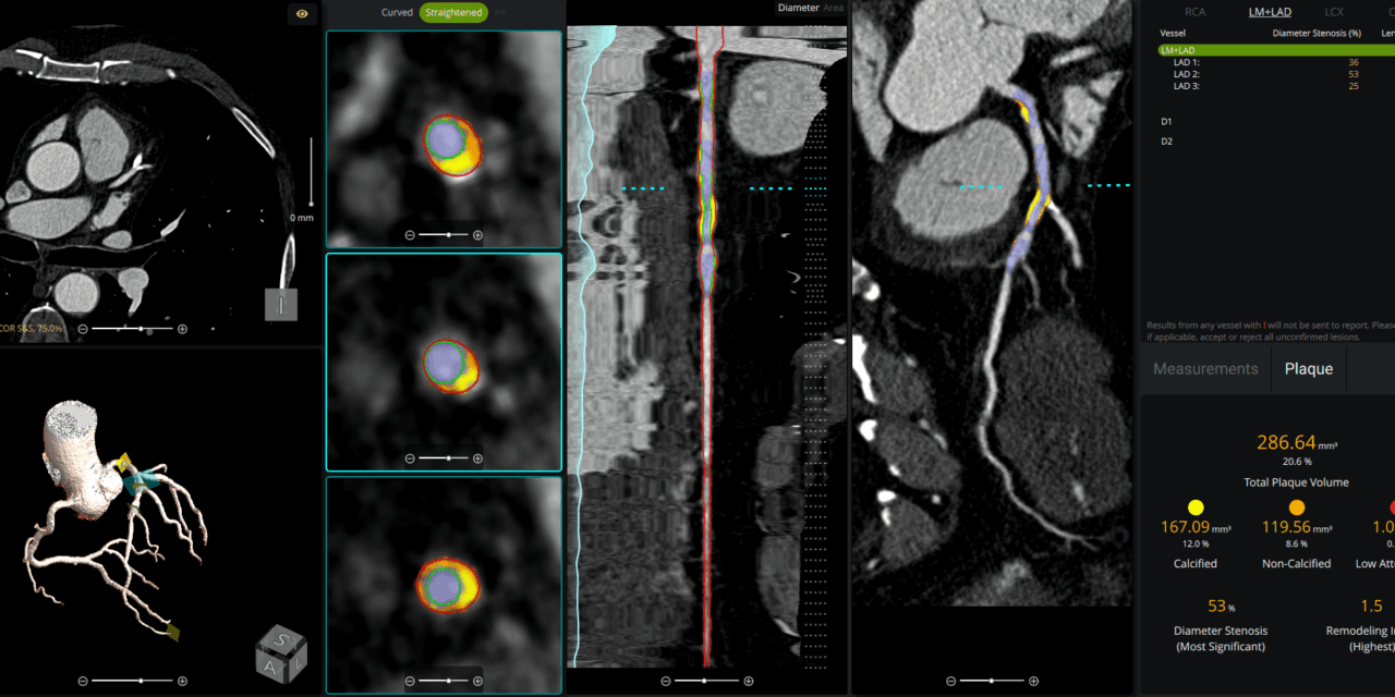
The clearance enables on-premise AI analysis of coronary CT angiography for quantifying calcified and non-calcified plaque.


Circle Cardiovascular Imaging (Circle CVI), specializing in cardiovascular imaging solutions, announced that its cvi42 | Plaque solution has received 510(k) clearance from the US Food and Drug Administration (FDA) and is now available for clinical use in the United States. The AI-enabled solution allows clinicians to perform coronary plaque analysis on-premise.

“The clearance of cvi42 | Plaque marks a significant advancement for cardiology departments and imaging centers,” says Erkan Akyuz, CEO of Circle CVI, in a release. “As a secure, on-premise solution, it allows for the evaluation of coronary artery disease without the need to send patient data to an external reading service. This provides clinicians with greater control over their data, improved study processing times, and enhanced workflow efficiency.”

The AI-enabled technology within cvi42 | Plaque is designed to deliver fast, accurate, and reproducible results for quantifying total, calcified, and non-calcified plaque. This analysis aims to more precise risk stratification and helps inform personalized treatment plans.

“With the new cvi42 | Plaque, I now have immediate and interactive control over my anatomic [coronary computed tomography angiography] (CCTA) imaging analysis,” says James Thompson, DO, director of adult congenital heart disease at Johns Hopkins, in a release. “…This is foundational to CCTA’s front-line role in cardiovascular disease prevention, driving early translational impact and transformative patient care.”

Medicare Coverage Updates

Medicare now covers AI-enabled coronary plaque analysis from CCTA with a Category III CPT code, 0625T, and national payment set at $950 under recent policy updates, alongside higher base payments for the underlying CCTA exam. With cvi42 | Plaque, cardiac imaging sites can retain most of the reimbursement, rather than outsourcing analysis and reimbursement to external providers, according to a release from Circle CVI.

AI-enabled coronary plaque analysis has been assigned a permanent Category I CPT code, 75XX6, which takes effect in January 2026. This new code, replacing previous Category III codes, facilitates national pricing and enables physician reimbursement; the AMA’s update signifies that plaque quantification is now recognized as standard clinical care in cardiovascular medicine.

cvi42 | Plaque integrates into existing CT workflows and is compatible with all major vendor systems, the company states in a release. 

Photo caption: cvi42 | Plaque

Photo credit: Circle CVI

We Recommend for You: