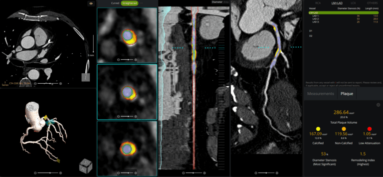
FDA Clears AI Tool for Coronary Plaque Analysis
The clearance enables on-premise AI analysis of coronary CT angiography for quantifying calcified and non-calcified plaque.
Copy and paste this URL into your WordPress site to embed
Copy and paste this code into your site to embed